Why Parkinson's begins in the eye
How to use light to build back neuromelanin and dopamine
Here’s what we’ll learn in this article:
1. How does Sunlight increase dopamine?
2. Why are nerve cells being destroyed - the role of rhodopsin
3. Does blue light cause Parkinson’s?
4. Why cortisol isn’t always bad
5. The myth of misfolded proteins
6. What is photoelectric health?
7. Why are we losing dopamine?
8. How can we make more melanin?
9. Why you may be sensitive to Sunlight
10. Tactics we can use to build back our brain (pdf download)
If you’re low on dopamine - you may want to get out and see the Sunrise.
If you have Parkinson’s (PD), you may not want to see the Sunrise.
Many PD patients lose the wakefulness they’d typically have in the morning when dopamine levels are highest, as dopamine drugs (L-Dopa) disrupt the natural circadian rhythm and sensitivity of dopaminergic receptors of the brain.1 Taking L-Dopa pills will delay melatonin production and make us feel groggy in the morning.
When dopamine is highest (AM), our melatonin is meant to be at its lowest, and vice versa:
How do we build back our dopamine levels?
Is dopamine just a "feel-good” hormone we get every time we munch on a donut, or sip on a dopamine-building, glycine-rich bone broth?
Yes, but dopamine is also so much more.
Doped up on Sunlight
Dopamine is made in the eye by Sunlight, and it can be made in the gut by our microbiome, which is full of bacteria that release light even brighter than what we receive from the Sun, in the range of UV-C. This light is then able to make dopamine from amino acids like tyrosine in the gut.

Nature has built in a mechanism for us to harvest free energy in the form of hormones. All we need to do is get outside.
What went wrong? Why are neurological conditions now the leading cause of disability worldwide?
A major new study2 released by The Lancet Neurology shows that, in 2021, more than 3 billion people worldwide were living with a neurological condition. The overall amount of disability, illness and premature death caused by neurological conditions has increased by 18% since 1990.3
What has dramatically increased since 1990?
Use of devices emitting wireless radiation has grown exponentially every year since 1990 in the Western world.
Prior to 1980, only microwaves were commercially available in any significant quantity. The general public rapidly adopted other EMF (wireless radiation) technologies in laptops and cell phones after 1990.
Evolution begins in the beginning
When you wake up, what’s the first thing you see?
Your phone, an LED light, or the Sun?
Soon after hearing the robins at 4AM, the first light I always see is either my red bathroom light, or the sky. I make sure that my first dose of blue light is paired with the red light of the Sunrise.
Why am I obsessed about light?
Because I know how simple and effective, not to mention free, this formula is for so many of us who are suffering from chronic disease.
Most centralized doctors will tell you that Parkinson’s is caused by a loss of nerve cells which produce dopamine, in the part of the brain called the substantia nigra.
What most don’t know is that these same dopamine neurons produce neuromelanin, which is the basis for total health regeneration.
Before we go on to explore how to build melanin, we must ask:
Why are these nerve cells being destroyed in the first place?
Inflammation seems to be the root of neurodegeneration. Blue light from our devices, cars, and lights is a hazard not only for our eyes, but our brains as well. Rhodopsin is a G-protein coupled receptor, and is the most abundant protein in the rod cells found in the retina. G-protein coupled receptors are located in the membrane of our cells, and communicate information from our environment to our nervous system. These receptors form the “mem-brain”, which is the basis of epigenetics, or how our state of health is determined mostly by genes turned on/off by environmental triggers.
Does blue light cause Parkinson’s?
Not in its natural, balanced state. However, artificial blue light can be a major inflammatory trigger, which informs how photoreceptors like rhodopsin work. Recent studies4 have implicated lesser concentrations of rhodopsins with neurodegenerative disease.
Lipofuscin is a “wear and tear” pigment that is formed through aging, metals, misfolded proteins, and is especially abundant in nerve cells, cardiac muscle cells and skin. Pathological accumulation of lipofuscin is implicated in Alzheimer's disease and Parkinson's disease.5
What creates lipofuscin in excess? Blue light.


Did you have your morning cup of cortisol?
Morning Sunlight has even more blue light than our devices, which can be advantageous as this same spectrum of light spikes cortisol. When many of us hear the word cortisol, we think “stress” but have forgotten that this same hormone produces alertness, which is Nature’s way of getting us ready to go to work.
Nature and God also had a way to help us unwind after that long day at the jungle office, as we stoked our fires at night, glaring into infrared embers of retinal regeneration. Now we’ve divorced ourselves from the Divine Light, and cast ourselves into an alien night, scrolling into an abyss of chronic stress.
Blue light, wireless radiation, excess carbohydrates, and annoying relatives can all elevate our cortisol levels. Cortisol is made from the cholesterol backbone, pregnenolone. When we lower our cholesterol with statins, this is similar to killing the firefighter who has shown up to rescue us.
When cholesterol levels aren’t adequate, our cell membrane becomes leaky or porous, a situation the body interprets as an emergency, releasing a flood of corticoid hormones that work by sequestering cholesterol from one part of the body and transporting it to areas where it is lacking. Cholesterol is our body’s repair substance: scar tissue contains high levels of cholesterol, including scar tissue in the arteries.6
Cholesterol is a marker of inflammation, rather than a cause. The University of California at Irvine (2011) has pointed to the elevation of cortisol as the main generator of the inflammation in diseased neurons.7 Cholesterol is a major component of the brain, much of it in the myelin sheaths that insulate nerve cells and in the synapses that transmit nerve impulses.
Misfolded Proteins aren’t the root of brain disease
Compounding the issue is the fact that our brains’ cholesterol stores are depleted in order to make cortisol, which further drives inflammation. Research from Brown University8 points to inflammation as the catalyst for the protein misfolding commonly found in Parkinson’s and Alzheimer’s, as chronic stress can override the internal quality assurance system of neurons that would normally ensure proper protein folding occurs.
“When our system is overwhelmed the end result is the formation of neurofibrillary tangles from (misfolded) proteins. These proteins then block the transport of vital ingredients into the brain cells to offset the assault. One of those ingredients appears to be cholesterol itself. It appears that normal lipid metabolism repair mechanisms become so unbalanced that it induces the nerve cells to undergo apoptosis!” 9
Apoptosis is cell suicide. The neurons with these misfolded proteins are toxic, needing to be replaced, so they undergo apoptosis instead of autophagy. Think of autophagy like a scrapyard - our bodies recycle and repurpose cells for other functions. Apoptosis is when we drive that car off a cliff and set in on fire, instead of selling it for parts. Since we’re killing off too many neurons without replacing them, our brain’s renewable cell supply in the temporal, parietal and frontal lobes becomes exhausted.
If inflammation is at the root, what is driving the inflammation?
The same thing that can alleviate our cellular fire: light.
Photoelectric Health
Humans are a lot like plants. We both use light to create energy.10 When we capture particles of light called photons from the Sun, we create energy for our body in the form of electrons. How do we convert these electrons into energy?
Our brain needs between 25-35% of omega 3 fats called DHA to function optimally. More importantly, DHA sequesters the electrons found in light in order to activate hormonal and digestive pathways.
Energy conversion begins in our eye, which contain high concentrations of DHA:
Brains of those with neurodegenerative disease are often found lacking in omega 3s and overburdened with an excess of omega 6 fats. A lack of electrons can also contribute to the shape change of misfolded proteins.11 This is why DHA, an omega 3 fatty acid, is critical for anyone suffering from a brain disease.
Why are we losing dopamine?
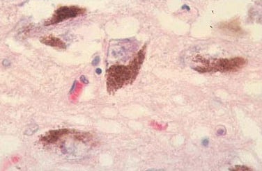
As noted earlier, neuromelanin is the substance lacking in those with PD, and must be created in order for brains to regenerate.
Dopamine neurons in the human brain produce so much neuromelanin that we can visualise it with our naked eye. As we can see in the image below, the Parkinsonian brain has less dark pigmented cells (in the substantia nigra region of the midbrain) below. As dopamine neurons – which are affected in Parkinson’s – are lost, so too is the dark pigment of neuromelanin.


We lose neuromelanin for the same reason our dopamine stores get depleted.
Blue light spikes dopamine in the short-term, but chronic exposure to blue light inhibits our ability to produce more dopamine. Nature never had a way for us to be chronically exposed to blue light, as each day we see the same variations of Sunlight in a twenty-four hour cycle. When we wake up, we get an energetic dose of blue light from the Sun, which is balanced with regenerative red wavelengths.
Since Edison, we have radically altered our genetic destiny by transforming our light environment.

Since artificial blue light ruins our ability to make dopamine, we also lose melanin. Melanin allows us to fight inflammation as well as cancer.
How can we make more melanin?
It turns out that melanin isn’t just a skin pigment, but the solar panel of our body, which processes light as information for healing. Melanin is made when we expose our skin and eyes to UV light.
But isn’t UV dangerous?
Yes, if you don’t get enough AM light with red wavelengths that build the deepest layers of your skin, chances are you’ll burn.
If you wear sunglasses, then you also won’t make melanin. 12 Ultraviolet light activates a chemical known as the melanocyte-stimulating hormone (MSH) in blood1, which in turn makes melanin. Melanin makes our skin thicken and go brown in order to give us gradual protection from overexposure to solar radiation.
But Sunlight hurts my eyes!
If you’re wearing sunglasses, chances are the Sun hurts your eyes because you’ve desensitized and ruined them, by overexposing your eyes to artificial blue light at night. (ALAN) This is why it’s crucial to see the Sunrise and/or Sunset, as the red wavelengths, which build mitochondria and regenerate ocular melatonin, are gentler at this time.
Some other tactics to build back our brain:
In order of priority:
Eliminate all blue light at night* and before you get outside in the AM.
Shut off Wi-Fi at night
Eliminate sunglasses, especially in the AM.
*If you must watch anything, wear blue-blocking red glasses.
Eat DHA-rich fish
Have 1 cup bone broth at each meal
See the Sunrise and/or Sunset and smile because you’re alive.
Ok, we know it’s not easy, but uphill battles never are.
Even if you win, winning doesn’t care about you, or how hard it was for you to get there. Others may have it easier than you, and you’ll suffer.
So why fight?
Because if you don’t win, the only thing that is sure to happen is losing.
Thanks Uncle Jack for this inspirational video you shared on your Patreon:
We are more powerful than we know,
Roman & Bohdanna
If you’ve found this article valuable, would you consider sharing it?
Join the next semester of EMF 101.
How can we measure EMFs in our environment?
What can we do to minimize 5G?
How can we shield the right way, without doing more harm?
We’ll be covering these types of specifics, along with practical steps we can take to reduce EMFs in our daily lives during EMF 101.
Our course has launched already, but you can join the waitlist for the next round!
Additional Resources:
Check out
, a fantastic resource for those with Parkinson’s:How to nourish babies with electric food
What we’ll learn in this article: 1. How did the human brain evolve? 2. Why is DHA, not DNA, the master of our evolution? 3. How do we use “the force” to power vitality in our bodies? 4. Why fish oil may be doing you more harm than good 5. How cod liver oil can nourish the brains of moms and babies
How Winter Sun Can Help Parkinson's
“I hate winter,” my little old lady neighbor scowled as I saw her on my morning walk. This is a retort I hear from many, especially the elderly. They are the product of an indoor generation of “cushy” office workers, who thought that health could be replaced with comfort. Eventually even comfort can become misery if we sit on those chairs too long, wa…
Sonja Rutten, Chris Vriend, Odile A. van den Heuvel, Jan H. Smit, Henk W. Berendse, Ysbrand D. van der Werf, "Bright Light Therapy in Parkinson's Disease: An Overview of the Background and Evidence", Parkinson’s Disease, vol. 2012, Article ID 767105, 9 pages, 2012. https://doi.org/10.1155/2012/767105
https://www.who.int/news/item/14-03-2024-over-1-in-3-people-affected-by-neurological-conditions--the-leading-cause-of-illness-and-disability-worldwide
https://www.ncbi.nlm.nih.gov/pmc/articles/PMC7175229/
Moreno-García A, Kun A, Calero O, Medina M, Calero M. An Overview of the Role of Lipofuscin in Age-Related Neurodegeneration. Front Neurosci. 2018 Jul 5;12:464. doi: 10.3389/fnins.2018.00464. PMID: 30026686; PMCID: PMC6041410.
https://mind.uci.edu/stress-and-its-influence-on-alzheimers-disease/












Really interesting and thought provoking, especially the neuromelanin angle. Dopamine is actually created and used in the eyes - in the retina. Dr Greg Willis injected tiny amounts of l-dopa into the eyes of parkinson's mice, and showed this was effective at relieving the symptoms as giving much larger doses orally. Willis's theory is that it is not that dopamine is low. but that that the ying-yang of the dopamine-melatonin becomes unbalanced, and melatonin becomes too high as a result. His stratergy was to attack melatonin at its peak.
From a paper by willis "In the early years of dopamine theory it was generally accepted that the more severe the cell loss, the more severe the dopamine deficiency and the more severe the Parkinson’s disease. However, this position has been very gradually eroded by the ongoing demonstration that this relationship is a poor one. In fact, recent work has demonstrated that Parkinson’s disease can develop with only 30% loss of dopamine (Annals of Neurology, 67(6) 715-725, 2010) suggesting that it is not only the level of dopamine that is important. This has important implications for treating the disease and is consistent with our approach using coordinated drug and light treatment."
""[From] our experience with the application of bright light therapy, we have identified numerous technical problems in the therapeutic application of light that frequently interferes with efficacy and which have to be overcome before the patient can experience optimal therapeutic benefit. Such technical problems include positioning of the light source, compliance, pre-existing ocular disease, light sensitivity, consistency in time of administration, polypharmacy, DA replacement overdosing, sleep hygiene and light induced narcolepsy, to name only a few. Such problems are typically resolved in routine neurological practice over the first few visits to the clinic."
Wow! I need to re-read your wonderful article.
Light, albeit contaminated with chemtrails, is fascinating.
And do not forget Stephanie Seneff and Anthony Samsel's glyphosate contribution.
Here is a case report.
https://www.ncbi.nlm.nih.gov/pmc/articles/PMC6663540/
Parkinsonism Relating to Intoxication with Glyphosate
"Our patient had a low density of dopamine transporters in the striatum, which suggested a loss of dopaminergic neurons similar to that found in sporadic PD."
Thank you!